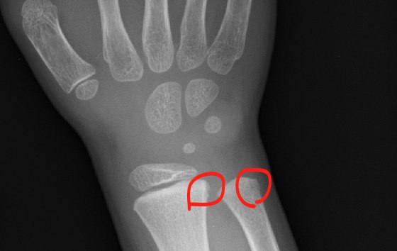
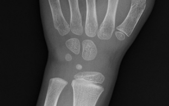
かずが腕を負傷したのは前回投稿したが、日曜に病院に行ったら、なんと骨折してた。
負傷したのは金曜の夕方で、土曜は痛がってはいたがサッカーもしてプールにも行ったので、それほど心配してなかったが、レントゲンを撮ってみると、骨が少しだけ折れてる(ひび?)らしい。
分かりにくいかもしれないが、レントゲンの写真をもらったので載せておこう。
骨折が分かっても元気だったので「しばらくサッカーできないかもね」と軽い気持ちで言ったら、それから大泣き。過呼吸になるんじゃないか、というくらい泣いていた。処置として簡単に手を固定されてたんだが、それもショックだったんだろう。
しかし立ち直りは早い。家に帰ったら順応して元気が出ていた。


